Hello and Happy Christmas to everyone!!
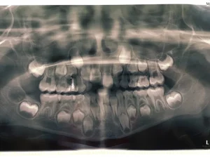
Last week Amy and I visited St Joseph’s Catholic Primary School in Newbury to talk to the year 4 students about their oral health. I started by talking about the different teeth that we have, their shapes and what they are used for and we looked at how different animals have different shaped teeth according to their diet. We also talked about how to look after their mouths and what can happen if they don’t look after their teeth. The children were very enthusiastic and interactive with lots of patient hands in the air waiting to tell us their stories and ask questions. We got a little side tracked and with the help of Amy looked at an X-ray to show the baby teeth and also the permanent teeth waiting in the jaw to erupt. I was really pleased with the response and general enthusiasm from the children, they had already done some experiments looking at the effects different drinks had on egg shells and were keen to learn more.
I found that it is very easy to get distracted and side tracked by a question and I felt a few times that I lost my thread and had to think about where I was in my presentation. I’ve never been very good at changing tack on the spur of the moment, I’m definitely a planner! I think that teachers do an amazing job in keeping to a lesson plan despite many enthusiastic distractions. It’s a very different scenario being in the classroom as opposed to the usual one-on-one education which is my usual routine. In the surgery with my patients I’m confident and comfortable but the classroom is a much more daunting experience. I came away in awe of how the teacher had complete control of the class and how well behaved and polite they were.
I believe firmly that educating the young in how to look after and manage their oral health is essential if we are ever going to reduce childhood rates of tooth decay and tooth loss and, who knows, it may even help in tackling some of the other complications that arise from poor diet and personal care.
So thank you to the lovely children at the school and I wish you all a Merry Christmas!!
Keep Brushing…
Jo x


For detailed information on the treatments we provide, or to book an appointment, don’t hesitate to get in touch.
Anti-wrinkle treatments to enhance your appearance.
Learn moreOur referral process is quick and easy.
Learn moreWe offer innovative dental implant solutions to improve a smile.
Learn moreInnovative comfortable solutions for all your dentistry needs.
Learn more